세계는 지금
취재할 수 없는 시대에 우리는 무엇을 다뤄야 할까. 대대적인 봉쇄령에도 사람들은 일상을 지속한다. 베란다에서 글을 쓰고, 온라인 콘텐츠를 만들고, 저항과 논쟁을 이어가고, TV 쇼에 문자 투표를 한다. 팬데믹 시대에도 라이프스타일은 지속된다. 세계 12개 도시의 기자들이 팬데믹 시대의 삶을 전해왔다. <모노클> <뉴욕타임스> <아이콘> <TAZ> <내셔널 지오그래픽> <매그넘> 기자들이 전해온 21세기 가장 암울한 순간의 민낯과 희망의 기록이다. 지금 세계는 이렇다.
Sicilia
코로나19의 실체
유럽의 전염병 최전방에서 알렉스 마욜리가 코로나19의 실체를 포착했다.

© ALEX MAJOLI/MAGNUM PHOTOS/EUROPHOTOS
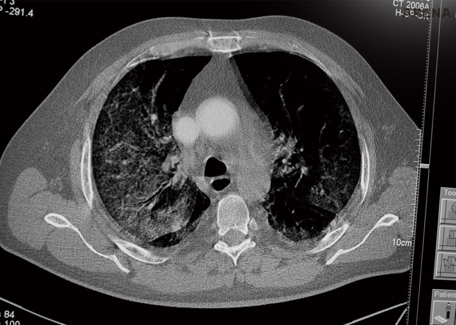
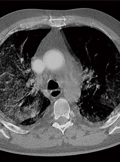
ITALY Catania, Sicilia. April 9 2020.
CT scan of the lungs of a patient with Covid 19 virus.
이탈리아에서 바이러스가 급속도로 확산되자 <매그넘>의 포토그래퍼 알렉스 마욜리는 이탈리아 시칠리아섬으로 달렸다.
위 사진은 2020년 4월 9일, 코로나19에 감염된 사람의 폐를 CT 촬영한 것이다.
바이러스가 폐 혈관을 따라 걷잡을 수 없이 퍼진 적나라한 이미지는 바이러스에 대한 공포와 경각심을 불러일으킨다.
Alex Majoli 알렉스 마욜리
2001년부터 <매그넘> 정식 회원으로 활동 중인 알렉스 마욜리는 <뉴욕타임스> <그란타> <내셔널 지오그래픽> 등에서 활동하는 사진가다. 빛과 색감에 대한 해석이 탁월한 그는 이탈리아 전역에 퍼진 코로나19를 사진에 담고 있다.

세계는 지금 시리즈
CREDIT INFO
EDITOR 조진혁, 이예지, 김성지
GUEST EDITOR 정소진
ASSISTANT 김인혜
이 기사를 공유합니다
